
안녕하세요! 어느 날 갑자기 거울을 보다가 혹은 양치를 하다가 잇몸사이 고름을 발견하고 깜짝 놀라신 적이 있으신가요? 손으로 살짝 눌렀을 때 노란 액체가 나오거나 찝질한 맛이 느껴진다면, 이는 우리 몸이 보내는 매우 위급한 신호입니다.
오늘은 잇몸사이 고름이 생기는 이유와 왜 절대로 방치하면 안 되는지, 그리고 올바른 해결법은 무엇인지 핵심만 정리해 드리겠습니다.
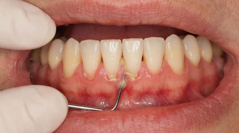
1. 잇몸사이 고름, 왜 생기는 걸까요?

잇몸사이 고름의 가장 큰 원인은 ‘심한 치주염’입니다.
잇몸 질환은 보통 [치은염 -> 치주염]의 순서로 진행되는데, 고름이 보인다면 이미 염증이 뿌리 깊숙이 침투했다는 뜻입니다.
① 치주낭 형성으로 잇몸사이 고름 생김
치석이 잇몸 안쪽으로 파고들면 잇몸과 치아 사이에 깊은 주머니(치주낭)가 생깁니다.

② 세균 증식으로 잇몸사이 고름 발생
이 주머니 안에 음식물 찌꺼기와 세균이 쌓이면서 염증이 생기고, 결국 잇몸사이 고름으로 나타나게 됩니다.
2. 잇몸사이 고름, 절대로 집에서 짜면 안돼요!

잇몸사이 고름을 발견하면 답답한 마음에 손가락이나 바늘로 짜는 분들이 계십니다. 하지만 이는 불에 기름을 붓는 것과 같습니다.
① 2차 감염위험이 높아요.
소독되지 않은 도구는 잇몸 속으로 세균을 더 깊숙이 밀어 넣습니다. 잠깐 고름이 빠지며 압력이 줄어 시원한 느낌을 받을수는 있지만, 이는 증상을 더욱 악화시키는 행위니 절대 하시며 안돼요.
② 잇몸사이 고름의 근본 원인 미해결
겉의 고름만 짠다고 해서 뿌리에 박힌 치석이 사라지지 않습니다. 얼마 안 가 다시 붓고 고름이 차게 됩니다.
③ 잇몸 조직 손상
억지로 압력을 가하면 약해진 잇몸 조직이 더 크게 파손될 수 있어요. 한번 무너진 잇몸은 회복이 안되는 정말 조심해야해요.
3. 잇몸사이 고름을 방치하면 임플란트까지

잇몸사이 고름이 생겨도 통증이 없어 그냥 지켜보는 분들이 많다고 해요. 하지만, 잇몸사이 고름의 무서운 점은 소리 없이 뼈를 녹이고 있다는 것이에요. 그대로 방치하면 어떻게될까요?
① 치조골(잇몸뼈) 소실
염증이 잇몸뼈를 녹여 더이상 치아를 지탱할 힘이 사려지게됩니다.
② 치아 흔들림
뿌리를 잡아주는 뼈가 없으니 치아가 당연히 흔들리게 되고, 결국에는 썩지도 않은 생니를 뽑아야 할 수도 있습니다.
③ 전신 건강의 위험
잇몸 염증 세균은 혈관을 타고 돌아다니며 당뇨나 심혈관 질환에도 안좋은 영향을줍니다. 구강의 경우 점막만 있고 피부는 없기 때문에 세균이 증식하면 그대로 혈관을 타고 돌아다닌다고 하니까 더 조심해야겠죠?
4. 잇몸사이 고름, 어떻게 치료해야 할까요?

상태에 따라 간단한 스케일링부터 신경치료까지 다양한 치료방법이 있는데, 가장 중요한 건 치과에 방문해 정확한 상태를 진단받는거에요.
① 치주 소파술

우리가 흔히 잇몸치료 라고 부르는게 여기에 해당해요. 잇몸 안쪽의 염증과 고름의 원인인 치석을 물리적으로 긁어내는 치료입니다.
② 신경 치료

고름의 원인이 치아 뿌리 끝 염증(치근단 농양)일 경우 신경 치료를 병행합니다.
③ 약물 처방

염증 확산을 막기 위해 항생제 등을 처방받을 수 있지만, 반드시 물리적인 치료가 먼저 필요하답니다. 약물 치료만으로 잇몸사이 고름을 치료할 수 없어요.
잇몸사이 고름은 치아가 보내는 마지막 구조 신호입니다. “피곤해서 그렇겠지”라고 넘기지 마시고, 오늘 꼭 거울을 다시 한번 확인해 보세요!
본 포스팅은 일반적인 건강 정보 제공을 목적으로 하며, 정확한 진단은 반드시 치과 전문의와 상담하시기 바랍니다.

















